حسن إبراهيم سليمان طفل يبلغ من العمر 5 سنوات، يقيم في قرية الظاهرية، تبعد عن مشفى الأمل الواقع بمدينة الغندورة 15 كم، قام” حسن” بزيارة مشفى الأمل بعد تدهور حالته الصحية، والد الطفل “إبراهيم سليمان” يحدثنا عن معاناة طفله، حيث لجأ لعدة مراكز طبية قبل زيارة مشفى الأمل لكن دون جدوى.

تم قبول الطفل وكان يعاني حسب الشكاية الأولية من ترفع حروري مترافق مع ضعف وارد شديد جداً بالإضافة لوهن عام وألم بطن.

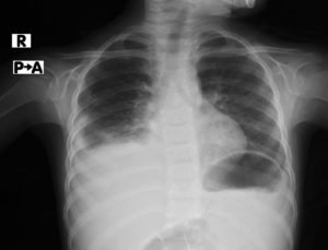
الطبيب المختص بمشفى الأمل أجرى فحص دقيق للطفل حيث تبين بعد الاصغاء للصدر وجود خرخرة ناعمة بالساحة الرئوية اليمنى، طلب “الطبيب” إجراء تحاليل وصورة أشعة، تبين بعدها وجود كثافة بالساحة الرئوية اليمنى وبنتيجة التحاليل الدم تبين ارتفاع عالي بنسبة الـ CRP حيث كانت قيمتها عند القبول 218.

وضع الطفل تحت العناية بجناح الأطفال وبعد 3 أيام تم إجراء ايكو للصدر، أظهرت الصورة وجود انصباب جنب أيمن، نتيجة إصابته بأنفلونزا الخنازير H1N1 حيث قمنا بتغيير التغطية وإعطاء صادات حيوية مناسبة للطفل مع فترة علاج استمرت ثلاثة عشر يوم تحت العناية المركزة، تم تخريجه بحالة عامة ممتازة وصحة جيدة بعدها، بحسب نتيجة التحاليل وصورة أشعة. بحسب نتيجة التحاليل وصورة أشعة.

طلبنا من والد الطفل مراجعة المشفى بعد 15 يوم للاطمئنان على حالته ولإجراء تحاليل جديدة.

مشفى الأمل يقدم الرعاية الصحية لآلاف المرضى بشكل شهري وحالة الطفل “حسن” هي حالة من عشرات الحالات الطارئة التي يستقبلها مشفى الأمل

الاهتمام بحياة الأطفال ومستقبلهم هم الهدف الأساسي لبقاء مشفى الأمل.